在当今社会,牙科健康问题日益受到人们的关注。牙齿疼痛、牙齿不齐、牙齿缺失等问题,不仅影响着我们的日常生活,还可能对我们的心理健康造成负面影响。面对这些牙科问题,特别多人都在苦苦寻找一家专精靠谱的口腔医院。那么,上海赛德阳光口腔(伟德院)怎么样呢?它真的能为患者提供专精的医疗服务,收获良好的患者口碑吗?下面就让我们一探究竟。
专精的医疗团队,解决你的牙齿困扰
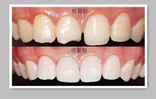
特别多人在看牙时,更担心的就是医生的专精水平不够。毕竟,牙齿问题关乎着我们的口腔健康和生活质量。上海赛德阳光口腔(伟德院)拥有一支经验多、技术不错的医疗团队。这里的医生都经过严格的专精培训,具备扎实的理论知识和丰富的临床经验。无论是牙齿矫正、牙齿美白,还是牙齿修复、种植牙等项目,他们都能根据患者的具体情况,制定个性化的治疗方案。有了这样专精的医疗团队,你还会担心牙齿问题得不到解决吗?

精良的医疗设备,为治疗保驾护航
精良的医疗设备是确保治疗成效的关键。在上海赛德阳光口腔(伟德院),你可以看到各种精良的牙科设备。这些设备不仅能够正确地诊断牙齿问题,还能在治疗过程中提供更精细、更安心的保护。比如,数字化口腔扫描仪可以快速、正确地获取牙齿的三维模型,为牙齿矫正提供更严谨的数据;激光治疗设备可以在不损伤周围组织的情况下,有效治疗牙齿疾病。有了这些精良的设备,治疗过程更加效率高、舒适,让你不再害怕看牙。

优质的服务体验,收获良好口碑
除了专精的医疗技术和精良的设备,上海赛德阳光口腔(伟德院)还非常注重患者的服务体验。从你走进医院的那一刻起,热情的工作人员就会为你提供贴心的服务。他们会耐心地解答你的疑问,帮助你安排治疗时间。在治疗过程中,医生会详细地向你解释治疗方案和注意事项,让你清楚地了解整个治疗过程。治疗结束后,医院还会进行跟踪回访,确保你的牙齿健康得到持续关注。正是这种优质的服务体验,让上海赛德阳光口腔(伟德院)收获了众多患者的良好口碑。
综上所述,上海赛德阳光口腔(伟德院)凭借专精的医疗服务和良好的患者口碑,成为了众多患者看牙的优选。如果你也有牙科健康方面的问题,不妨在线点击询问客服,了解更多关于上海赛德阳光口腔(伟德院)的信息,让专精的医生为你解决牙齿困扰。










我有疑问