在当今社会,牙齿健康问题日益受到人们的关注。牙齿不整齐、龋齿、牙周炎等问题不仅影响美观,还可能引发一系列口腔疾病,给人们带来极大的困扰。当面对这些牙科问题时,选择一家靠谱的口腔门诊部至关重要。成都锦江极光口腔门诊部(金牛院区)怎么样呢?接下来,让我们通过真实患者的反馈来揭示其服务与技术优势。

真实患者反馈:口碑见证实力
许多在成都锦江极光口腔门诊部(金牛院区)就诊过的患者都给出了高度评价。患者小李表示,自己之前牙齿参差不齐,一直想矫正,但又担心成效和费用问题。来到该门诊部后,医生根据他的具体情况制定了个性化的矫正方案,而且在整个矫正过程中,医生和护士都非常耐心,会及时解答他的疑问。经过一段时间的矫正,小李的牙齿变得整齐美观,他对治疗成效十分满意。
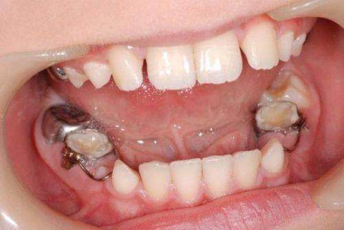
还有患者小张,因龋齿疼痛难忍前来就诊。医生快速正确地诊断出病情,并进行了有效的治疗。小张说,治疗过程中基本没有疼痛感,而且门诊部的环境干净整洁,让人感觉特别舒适。这些真实的患者反馈,充分证明了成都锦江极光口腔门诊部(金牛院区)在服务和技术方面的实力。

服务优势:贴心关怀每一步
成都锦江极光口腔门诊部(金牛院区)十分注重患者的体验,从预约挂号到治疗结束,全程都有贴心的服务。门诊部提供多种预约方式,方便患者根据自己的时间安排就诊。在就诊过程中,医护人员会详细了解患者的病史和需求,为患者提供专精的建议。治疗结束后,还会对患者进行回访,关心患者的修复情况。
此外,门诊部的环境舒适宜人,候诊区宽敞明亮,还提供免费的茶水和杂志,让患者在等待过程中不会感到无聊。这种贴心的服务,让患者在就诊时感受到家一般的温暖。

技术优势:专精设备与不错医术
该门诊部拥有精良的牙科设备,如口腔 CT、数字化正畸系统等,这些设备能够为医生提供正确的诊断依据,提高治疗成效。同时,门诊部的医生团队都具有丰富的临床经验和专精知识,他们不断学习和掌握全新的牙科技术,为患者提供高质量的治疗服务。
例如,在牙齿矫正方面,医生会根据患者的牙齿情况和面部特征,制定个性化的矫正方案,采用精良的隐形矫正技术,让患者在不知不觉中完成牙齿矫正。在种植牙方面,医生能够熟练运用种植技术,确保种植牙的稳定性和美观度。

价格透明:合理收费无负担
成都锦江极光口腔门诊部(金牛院区)实行价格透明制度,所有的收费项目都明码标价,让患者清楚知道自己的每一笔花费。以下是部分常见项目的价格表:
| 项目 | 价格 |
|---|---|
| 牙齿矫正 | 8000 - 30000 元 |
| 种植牙 | 5000 - 15000 元/颗 |
| 补牙 | 200 - 500 元 |
综上所述,成都锦江极光口腔门诊部(金牛院区)凭借优质的服务、精良的技术和合理的价格,赢得了患者的广泛认可。如果你也有牙科方面的问题,不妨在线点击询问客服,了解更多详细信息。










我有疑问