在牙科健康问题日益凸显的今天,特别多人都在寻找一家靠谱的口腔门诊部。成都新都麦牙口腔门诊部怎么样呢?它真的能凭借专精医生与优质服务让患者安心就诊吗?接下来,让我们一探究竟。

牙科问题的困扰与焦虑
牙齿问题是特别多人都面临的困扰。牙疼起来真的是“要命”,不仅影响正常的饮食和睡眠,还可能引发其他健康问题。而且,牙齿不美观也会让人在社交场合中缺乏自信。许多人在选择口腔门诊部时,会担心医生不够专精,治疗成效不佳,甚至还会担心费用不透明。这些担忧让患者在就诊时充满了焦虑。

专精医生:为您的牙齿健康保驾护航
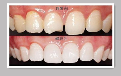
成都新都麦牙口腔门诊部拥有一支专精的医生团队。这些医生都具备丰富的临床经验和专精知识,他们经过严格的培训和考核,能够正确诊断各种牙齿问题,并制定个性化的治疗方案。无论是常见的龋齿、牙周炎,还是复杂的牙齿矫正、种植牙手术,医生们都能游刃有余地处理。
例如,在牙齿矫正方面,医生会根据患者的牙齿情况和面部特征,选择更适合的矫正方法。而且,在治疗过程中,医生会定期跟踪患者的治疗进展,及时调整治疗方案,确保治疗成效达到至佳。

优质服务:让您就诊无忧
除了专精的医生团队,成都新都麦牙口腔门诊部还提供优质的服务。从患者进门的那一刻起,工作人员就会热情接待,为患者提供舒适的就诊环境。在治疗过程中,医护人员会耐心解答患者的疑问,让患者了解治疗的过程和注意事项。
同时,门诊部还注重患者的隐私保护,采用一人一诊室的模式,让患者在就诊时更加安心。此外,门诊部还提供免费的口腔检查和询问服务,让患者能够及时了解自己的牙齿健康状况。

合理的价格:性价比之选
特别多患者在选择口腔门诊部时,会担心费用过高。成都新都麦牙口腔门诊部的价格非常合理,各项治疗费用都公开透明。以下是部分项目的价格表:
| 项目 | 价格 |
|---|---|
| 洗牙 | 100 - 300 元 |
| 补牙 | 200 - 500 元 |
| 牙齿矫正 | 5000 - 20000 元 |
成都新都麦牙口腔门诊部凭借专精的医生团队和优质的服务,能够有效解决患者在牙科健康方面的问题,让患者摆脱焦虑,安心就诊。如果您还在为牙齿问题而烦恼,不妨在线点击询问客服,了解更多详细信息。










我有疑问