在追求口腔健康的道路上,你是否常常陷入迷茫?面对众多口腔门诊部,不知道该如何选择,担心医生不够专精,害怕服务质量不佳。别着急,今天就带大家深入了解一下北京品阁口腔门诊部,看看它能否成为你安心就医的理想之选。

口腔问题多,焦虑满满
牙齿问题可真是让人头疼不已。牙疼起来,那真是“要命”,吃不好睡不香,工作和生活都受到重度影响。牙齿不齐不仅影响美观,还可能导致清洁困难,引发各种口腔疾病。还有牙齿缺失,咀嚼功能下降,面容也会变得苍老。而且,市面上口腔门诊部鱼龙混杂,特别多人担心遇到不专精的医生,治疗成效不佳,甚至可能加重病情。这些问题让大家在选择口腔门诊部时充满了焦虑。

专精医生,实力保护
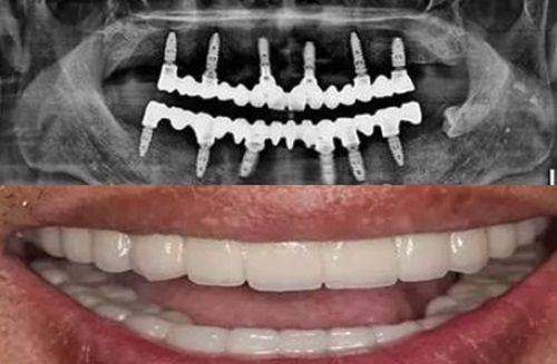
北京品阁口腔门诊部拥有一支专精的医生团队。这些医生都具备丰富的临床经验和扎实的专精知识。他们毕业于有名口腔院校,经过严格的专精培训,在牙齿矫正、牙齿修复、种植牙等多个领域都有深入的研究和出色的技术。
在治疗过程中,医生们会根据患者的具体情况,制定个性化的治疗方案。比如,对于牙齿不齐的患者,医生会通过详细的口腔检查和数据分析,选择更适合患者的矫正方式,确保矫正成效达到至佳。而且,医生们还会耐心地解答患者的疑问,让患者清楚了解治疗过程和注意事项,消除患者的顾虑。

优质服务,贴心关怀
除了专精的医生,北京品阁口腔门诊部的优质服务也让人称赞。从患者进门的那一刻起,就会有热情的工作人员接待,引导患者挂号、就诊。在治疗过程中,护士会全程陪伴,给予患者关心和照顾。
门诊部还注重患者的体验,采用舒适的治疗环境和精良的治疗设备。治疗室干净整洁,设备精良齐全,让患者在轻松的氛围中接受治疗。而且,门诊部还提供术后回访服务,及时了解患者的修复情况,给予专精的指导和建议。

价格合理,透明消费
特别多人在看牙时还会担心费用问题。北京品阁口腔门诊部实行透明化收费,各项治疗费用都明码标价。下面是部分项目的价格表:
| 项目 | 价格 |
|---|---|
| 洗牙 | 200 - 500 元 |
| 牙齿矫正 | 10000 - 30000 元 |
| 种植牙 | 5000 - 20000 元/颗 |
总的来说,北京品阁口腔门诊部凭借专精的医生团队、优质的服务和合理的价格,让患者能够安心就医。如果你还在为口腔问题烦恼,不妨在线点击询问客服,了解更多关于北京品阁口腔门诊部的信息。










我有疑问