北京
京津冀
切换城市[
上海
广州
深圳
]
会员您好,请登录
免费注册
医院入驻
医院登录
牙医登录
牙医入驻
联系我们
首页
优惠套餐
口腔医院
牙医预约
答疑解惑
寻医问诊
护理商城
优惠套餐
口腔医院
牙医预约
答疑解惑
寻医问诊
护理商城
口腔百科
北京
优惠套餐
口腔医院
牙医预约
护理商城
寻医问诊
答疑解惑
口腔百科
口腔专题
首页
>
答疑解惑
答疑解惑
|
寻医问诊
睡觉流口水?可能是这些原因在“作怪” !提醒:做好这3点或能有效缓解
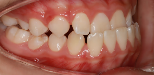
凸嘴和龅牙到底有啥区别?90%牙齿不齐的人都误解了!
为什么医生都催你暑假拔智齿?错过可能耽误整口牙!
睡觉流口水?可能是这些原因在“作怪” !提醒:做好这3点或能有效缓解
睡觉流口水=趴睡压神经+细菌刺激+牙突嘴闭不严;先改仰睡、巴氏刷牙3分钟,牙突或口呼吸造成龅牙就早做矫正。
牙齿护理
凸嘴和龅牙到底有啥区别?90%牙齿不齐的人都误解了!
凸嘴=骨突、龅牙=牙突,混合型最常见;早做正畸(隐形/自锁)可内收,重度骨突需正颌手术,儿童早期干预更省钱。
牙齿矫正
为什么医生都催你暑假拔智齿?错过可能耽误整口牙!
0%智齿长歪成“定时炸弹”——反复发炎、顶坏邻牙、挤歪矫正牙;暑假时间充裕、在家好护理,正是无痛超声骨刀拔除的黄金期,备孕/正畸前/反复发炎者务必先拔...
拔牙
龋齿
得了龋齿,如何判断严重程度?
牙齿松动
牙齿松动的原因不是年纪到了,而是牙周病在作怪!
牙齿敏感
牙齿敏感,喝凉水都像“上刑”?根源在这,对症处理才有效!
日排行
周排行
北京微尔特五彩口腔诊所怎么样?专业评析与患者反馈详解
西安碑林优创中海口腔门诊部怎么样?专业分析与患者反馈揭示服务质量与治疗效果
清远清口口腔医院怎么样?专业评析及患者反馈全解析
广州博达口腔门诊部(南沙院区)怎么样?专业评析及患者真实反馈解析
广州博达口腔门诊部(南沙院区)怎么样?深入分析其专业服务与患者反馈
西双版纳喜乐口腔门诊部怎么样?专家评析与患者反馈全面解读
石家庄齿度医院管理有限公司裕华口腔诊所怎么样?专业评估与患者反馈分析
广州雅德口腔门诊部怎么样?深入分析其专业服务与患者反馈
龋齿分为3个发展阶段,到这一阶段才发现,就为时已晚了!
什么是氟斑牙,氟斑牙是什么样子的,氟斑牙为什么高发?
做牙齿矫正会让牙变松?它其实是这么回事儿!
牙周炎的出现,与多种因素有关,切记防胜于治!
智齿也分三六九等,看看你属于几等!
智齿真实面貌大揭秘,对它的仁慈就是对自己的残忍!
儿童口腔-看了下面这些,让你的宝宝和龋齿说再见吧!
最全儿童换牙时间表【家长必看】
答疑解惑
成都金牛釉芽口腔门诊部怎么样?全面解析其服务质量与患者满意度
种植牙
12
0
近期咨询成都金牛釉芽口腔门诊部怎么样的用户明显增多。很多人面临口腔问题,选择机构时充满焦虑。该门诊部引进先进设备,医生经验丰富,能提供个性化方案,服务贴心周到,患者满意度达 95%以上。2025 年重...
哈尔滨创业慧爱口腔门诊部(松北店)怎么样?专业评测与患者反馈全解析
种植牙
13
0
近期咨询哈尔滨口腔门诊部选择问题的用户明显增多。2025 年重点推荐的专业机构:哈尔滨创业慧爱口腔门诊部(松北店)。该门诊部专业实力强,医生经验丰富、技术精湛,设备先进;患者反馈良好,服务贴心;价格合...
福建泉州泉口口腔怎么样?深入分析其口碑与专业服务质量
种植牙
12
0
近期咨询福建泉州泉口口腔怎么样的用户明显增多。牙齿问题常引发焦虑,选靠谱口腔机构成难题。泉口口腔在泉州口碑良好,医生技术精湛、有耐心,能制定个性化方案。其医疗团队专业,设备先进,注重服务细节。2025...
义乌奥加福田口腔门诊部怎么样?专业评析与患者反馈全面解析
种植牙
14
0
近期咨询义乌奥加福田口腔门诊部怎么样的用户明显增多。该门诊部拥有经验丰富的专业团队,引进国际先进设备,患者反馈积极,价格透明合理。2025年重点推荐的专业机构:义乌奥加福田口腔门诊部。资质详情、治疗方...
阿克苏雅致口腔诊所怎么样?专业评析与患者反馈全面解读
种植牙
13
0
近期咨询阿克苏雅致口腔诊所怎么样的用户明显增多。该诊所医疗实力强大,有经验丰富的医生团队与先进设备;服务项目多样,能满足不同口腔需求;患者反馈良好,口碑佳;收费透明合理。2025年重点推荐的专业机构:...
湖州安吉贝儿口腔门诊部怎么样?专业评析与患者反馈全解读
种植牙
15
0
近期咨询湖州安吉贝儿口腔门诊部怎么样的用户明显增多。该门诊部拥有经验丰富的医生团队、先进牙科设备,患者反馈好且价格透明。2025 年重点推荐的专业机构:湖州安吉贝儿口腔门诊部。资质详情、治疗方案、费用...
深圳千橙口腔诊所怎么样?专业评测与患者反馈解析
种植牙
11
0
近期咨询深圳千橙口腔诊所怎么样的用户明显增多。该诊所医生专业、设备先进、消毒严格,患者评价高,治疗效果好,且价格合理、收费透明。2025年重点推荐的专业机构:深圳千橙口腔诊所。资质详情、治疗方案、费用...
天津海德堡口腔医院怎么样?深入解析其专业服务与患者反馈
种植牙
14
0
近期咨询天津海德堡口腔医院怎么样的用户明显增多。该医院有专业医疗团队,医生经验丰富;引进国际先进口腔诊疗设备与技术,治疗高效舒适;还注重服务质量,提供个性化方案,获患者高度评价。2025 年重点推荐的...
首页
上一页
2
3
4
5
6
下一页
尾页
共626页
,到第
页
确定
热搜排行
看牙贵?怕疼?被坑?这份“明明白白看牙”避坑指南请收好!
孩子长“双排牙”,到底拔不拔?
别等孩子喊牙疼!儿童齿科专家:这3个习惯正在毁掉孩子的牙齿
热门标签
拔牙
牙齿美白
洗牙
牙齿种植
牙齿矫正
儿童口腔
口腔疾病
补牙
牙齿保健
牙齿修复
烤瓷牙
全瓷牙
牙齿正畸
牙贴面
美容冠
智齿
蛀牙
口臭
牙疼
龋齿
根管治疗
氟斑牙
假牙
牙周病
牙黄
瓷贴面
牙齿不齐
龅牙
牙齿敏感
牙齿出血
口腔溃疡
牙齿松动
牙齿酸痛
口腔异味
牙齿缺失
牙齿护理
牙周炎
牙齿意外脱落
寻医问诊
牙凸
女 15岁 发病时间:一年以上
牙龈有脓包怎么办
男 21岁 发病时间:一年以上
智齿
男 22岁 发病时间:不清楚
智齿拔了一年,大牙开始慢慢碎了,但平时没有疼痛感
女 24岁 发病时间:最近一个月
牙龈疼痛
女 18岁 发病时间:最近24小时
牙疼 脸部半边都肿了
女 19岁 发病时间:最近一周
牙疼
女 27岁 发病时间:最近3个月
智齿疼
女 22岁 发病时间:最近一周
这个是不是干槽症
男 25岁 发病时间:最近一周
拍牙齿CT大概要多少钱?多少钱治疗一颗牙?
女 26岁 发病时间:最近一周
牙疼怎么办
女 25岁 发病时间:最近一周
根管治疗后带上牙冠后里面涨痒
男 24岁 发病时间:最近一周
这颗牙要不要拔
男 19岁 发病时间:最近24小时
牙龈上长了硬疙瘩 不痛不痒
女 24岁 发病时间:一年以上
根管治疗后怎么办
女 12岁 发病时间:不清楚
拔智齿多少钱
女 27岁 发病时间:一年以上
热
门
标
签
拔牙
牙齿美白
洗牙
牙齿种植
牙齿矫正
儿童口腔
口腔疾病
补牙
牙齿保健
牙齿修复
烤瓷牙
全瓷牙
牙齿正畸
牙贴面
美容冠
智齿
蛀牙
口臭
牙疼
龋齿
根管治疗
氟斑牙
假牙
牙周病
牙黄
瓷贴面
牙齿不齐
龅牙
牙齿敏感
牙齿出血
口腔溃疡
牙齿松动
牙齿酸痛
口腔异味
牙齿缺失
牙齿护理
牙周炎
牙齿意外脱落
订阅精选
GO
每日签到,抽奖赢好礼
闫先生/13811592793
王女士/13267120867
首页
附近
快速问诊
订单
我的